25岁姑娘骶尾部长了一个“篮球”大小的肿瘤 多学科手术让她重拾自信
巧巧(化名)家住在梅州,长相清纯可爱,可是巧巧从小就不自信,总感觉和同龄人不一样,出生时,臀部长了一个巨大肿瘤,可谓之“定时炸弹”。肿瘤伴随她的成长一直在增大。
这样的难题,巧巧的父母在她小时候就去医院就诊过,当时考虑年龄太小、肿瘤巨大,担心手术影响生长发育,采取了保守治疗。
时光流逝,巨大的肿瘤不但使25岁的巧巧无法选择合体的衣服,而且逐渐出现排尿困难→留置尿管→排便困难。家人在国内辗转多地求诊,最终来到了777全讯白菜网,医生告诉她这个“定时炸弹”已经越来越大,压迫到膀胱、尿道、直肠及周围的血管神经。
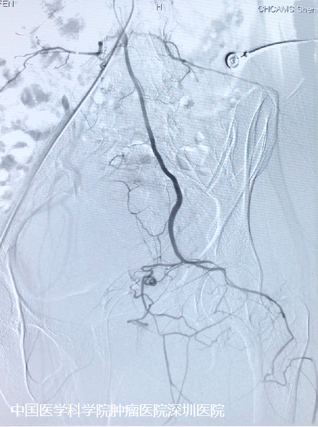
巧巧就诊时,肿瘤的压迫已经让她跛行、行动不便,排尿、排便困难,这个肿瘤已经到了必须治疗的地步。这种最大径接近30cm的巨大畸胎瘤可以说是很罕见的,手术风险极高,可能会出现肠道损伤、膀胱尿道损伤、生殖系统损伤、血管神经损伤、大出血、甚至失血性休克等。 骶尾部巨大肿瘤切除对外科医生来说一直是个极大的挑战。经科室讨论后向医务部报备重大手术申请,在王绿化院长、王东文副院长的主持下,总院骨科许宋锋教授立即会同泌尿外科王东文副院长及姜焕荣教授、妇科孙力教授、麻醉科李泉教授、介入治疗科宋鹏教授、胃肠外科李景文教授、骨科付来华教授等进行多学科讨论。 术前影像资料 制定了严密的手术计划——术前介入科行供瘤血管栓塞及腹主动脉球囊植入(以备术中临时阻断血供),麻醉选择控制性降血压以减少出血,妇科、泌尿外科及胃肠外科护航,在腹主动脉球囊阻断下行单纯后路骶尾部巨大肿瘤切除术。 本手术主要难点: 1.预防大出血——术前肿瘤血管栓塞、术中球囊阻断及控制性降血压。 2.术中注意保护结直肠、子宫、卵巢、输尿管、腰骶部神经和髂血管等。 3.肿瘤切除后盆底肌肉的修复和重建等。 术前栓塞 制定计划后,由骨科付来华教授主刀,许宋锋教授、介入治疗科宋鹏教授联合,2021年1月在全麻下进行了“骶尾部巨大软组织肿瘤切除 + 盆底软组织修复 + 血管神经探查松解”手术,手术时长近6小时,出血不足400ml。手术完美保护了盆腔重要脏器(直肠、子宫、尿道等),避免了术中大出血及骶尾部神经损伤。 “定时炸弹”顺利切除 肿瘤多学科诊疗很关键 巧巧的手术很成功,术后恢复也很好。现在巧巧终于摆脱了这个困扰了她25年的阴影,开开心心迎接她的新生活。第一次复查的她,已经穿上了漂亮的衣服,重拾自信。 主管医生介绍,畸胎瘤可能与胚胎期生殖细胞异常分化等因素有关,发病率为1/40000至1/20000,女性多发,发病率是男性的3-4倍。 畸胎瘤是先天性疾病,最常见的部位是卵巢,但发生于骶尾部是非常罕见的。此次手术难度巨大,最终通过多学科的努力,不仅完整的切除肿瘤,而且很好的保护了盆腔内的脏器。对于年轻的巧巧来说,本次手术也不会影响她的生育功能。 专家建议,在发现异常肿物或肿瘤时,避免盲目就医,有针对性的找到肿瘤专科医院就诊,避免延误就医导致病情恶化。 777全讯白菜网的多学科诊疗模式对于肿瘤的“精准治疗”和“个体化治疗”具有重大意义。



当前位置 : 

